您是否發現牙齦出血或口臭問題?可能是牙結石症狀的警訊!專業解析牙結石發生位置(常見於牙齦邊緣與齒縫),並列舉主要牙結石危險因子(抽菸、高糖飲食)。從牙醫的牙結石診斷方法(探針檢查、X光片),到有效的牙結石治療方式(超音波洗牙、噴砂處理),更提供關鍵牙結石飲食建議(減少精緻糖分攝取)與日常牙結石預防對策(正確刷牙、使用牙線)。定期檢查+良好習慣,讓您遠離牙結石困擾!
牙結石症狀
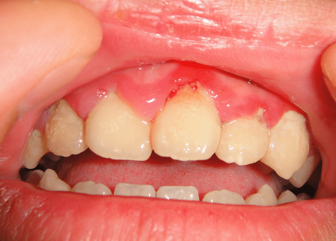
牙結石症狀:初期
牙結石形成的初期症狀往往不顯著,容易被人忽略。常見的表現是早晨起床後感覺牙齒表面粗糙、異物感增強;刷牙時牙齦出血,尤其是刷牙方式改變或更換牙刷後,這種情形會更加明顯。此外,口腔可能出現不同程度的異味,這與細菌大量滋生代謝產生化合物有關,也是許多患者開始察覺異常的主因。
視診上,靠近口腔內側及牙肉邊緣處容易形成輕微黃白色或淡紫色黏附物,若使用鏡子仔細觀察可見牙縫、前牙舌側、或是大臼齒的頰側已有細小附著。此時若未積極去除,細菌會進一步刺激牙齦,出現紅腫與輕微疼痛感。有部分人因為唾液流動速率慢(如熬夜後醒來),細菌代謝更活躍,可能出現短暫性口腔灼熱感或酸刺不舒服的情況。這些跡像是提醒我們牙結石正悄悄堆積的重要症狀指 标。
牙結石症狀:中期
隨時間累積,牙結石進一步發展並沉著至牙齦下,形成肉眼難察的隱形破壞。在中期階段,除了前述初早期症狀持續外,可能會出現更多的臨床徵兆。譬如牙齦紅腫加劇,觸碰時便容易滲血,甚至是不動它也會流血。牙齒本身變得敏感,冷熱交替時出現短暫痛,這是由於牙垢牙石侵犯暴露牙根部牙本質所致。刷完牙後即使已徹底清潔完畢,仍然會覺得口腔不清爽。
少數嚴重患者牙縫變得更大甚至有移位情況,造成整體排牙不整、咬合不平衡牙結石症狀;有些甚至因長期壓迫導致支撐牙齒韌帶與齒槽骨萎縮,在咀嚼上出現異感牙結石症狀;更有甚者發展出持續的牙齦膿包甚至顴骨腫脹,這都表示已侵及牙周深層組織牙結石症狀。
牙結石症狀:長期未處置
放任不管的牙結石不只影響牙齒健康,長期壓迫牙齦與支持結構後可能導致牙周炎的發生乃至最後的牙齒脫落。除了口腔內部的破壞牙結石症狀,臨床實證也指出這可能增加罹患心血管疾病的風險,因細菌進入血液循環對心臟血管造成發炎刺激作用。孕婦若有大量牙石未移除,可能提高早產胎膜早破的發生率。此外,長期惡化的口腔環境會加重糖尿病人血糖控制困難的現象,形成惡性互為因果。
同時在社會面向上亦造成不便,比如口臭持續導致社交障礙、外觀不佳造成的自我感覺變差,對心理健康與整體生活的品質產生負面的影響。值得注意的是,牙結石化學物質中若含有過多鐵質成分,也可能導致牙齒表面顏色異常,呈現暗黃褐或黑色斑塊影響審美,這常見於嗜飲黑茶、長期用含鐵製劑的服用者身上。
牙結石診斷
牙結石診斷初步篩查方法
牙醫針對牙結石篩查時通常會以視診為首要步驟。醫生會觀察牙齒表面是否有黃白色黏附物聚集,特別留意靠近牙肉邊界或難以清潔區域,如牙縫或是咬合面邊沿。
配合使用探針進行「探診」程序是確切掌握狀況的關鍵。透過專用的探針觸碰到牙石硬質感時會出現較明顯的阻礙或刮刷反彈音,同時能判斷沈積的位置是在牙齦上或是牙齒下。
針對有疑似牙齦腫脹的患者,醫師也可能輕觸牙肉部位,觀察是否導致牙齦有出血或是膿液流出。這種現象暗示牙縫處已有嚴重菌斑牙石侵蝕支撐組織的狀態。
使用影像學技術評估牙石沉積狀況
常見輔助工具包括口腔局部或全景 X 光片。若懷疑結石大量堆積至靠近牙根甚至侵犯顳骨部位的情況,醫師可能安排進一步高解析顯影。這有助評測牙骨萎縮程度與牙韌帶破損情形,對評估病程發展和是否需要積極介入處理具重要價值。
針對牙齦下牙石不易檢測之狀況,有時會進行「根管掃描」以了解牙本質與支撐牙周膜是否已產生退化現象。此外,某些先進診所引進即時影像分析裝備,在進行清潔時可實時監控結石清除狀況並提供即時反饋,大幅提升治療品質與效率。
日常民眾自我辨識與評估技巧
如果民眾自身想簡單識別是否牙結石已過度累積,可以從幾個現象牙結石診斷:早晨洗臉後觀察牙齒頰內側有無不自然色斑;刷牙牙刷沾溼接觸牙面時是否有粗糙異物摩擦聲音;牙線滑動進牙縫中卡住過緊或者拉回時有殘屑;此外觀察鏡中有無牙齒與牙齦接處顯現明顯深黑凹痕。這些特異徵兆均提示牙結石形成可能極高。但需注意,自我篩查只能幫助提高注意,真正確認仍需透過醫療照查確診為要。
牙結石治療方式與醫療選擇
牙結石治療:嚴重牙石堆積情況下的牙科處理
當確認患有大量牙結石後,首要處理方式之一為傳統機械式潔牙,即俗稱洗牙。醫師利用高速震動的音波清除器與手動細小彎鉤工具逐一去除位於齒面外及牙下部的固體硬質沉積物。整個過程可能需要多次會診來完全移除,特別是沉澱極硬、與牙面密合度極高的區域。
此時也常伴隨局部麻醉處置,確保患者過程舒適。洗牙期間可能產生暫時敏感、輕微牙肉滲血,但在醫師指示下使用低刺激潔護產品通常可控制。對於牙骨高度嚴重萎縮患者,則考量以低刺激探洗技術避免進一步傷害。
對於較深藏或侵犯根部的牙石還需進行進階刮除與根面修整(Scaling & Root Planing)。藉由刮除牙下區域並打磨牙根源部,以減低刺激牙週進一步損傷機率。
嚴重病例亦可能涉及牙周翻瓣的手術牙結石治療,此做法適用於支撐牙周病組織已嚴重受損,經由傳統手法難以有效清潔患者。手術目的是打開牙肉組織,讓醫護人員能有良好的視野與操作角度,全面去除殘留結石和壞死部分,進而促進軟硬組織修複過程。
治療過程所需的預估時間與費用
不同治療等級的處理周期
依病情進展與個人牙狀況,洗牙一般為 30 至 1 小時不等,若牙石堆疊嚴重或伴隨多方面病症則可能延長。初診者大多進行一次主要除石程序並安排回診追蹤。
進階牙周刮除治療往往需時約數十分鐘至一小時,並依照牙石位置分布安排分成多日治療。嚴重牙周病病例更可能接受多次刮洗加上手術程序,整體療程持續數週至半年間。
取決於醫師經驗與診所規模差異,部分診療還會搭配藥劑含氟保護膜塗布、牙石形成抑制配方局部釋放劑,用來協助維護術後狀況穩定。針對長期牙疾患者,通常會鼓勵定時回診追蹤數月,評估恢復程度是否穩定,再逐步減少回診頻率。
各種醫療機構之間的收費差異
國健署建議一般民眾定期洗牙以減少口腔風險,公家醫院或基層衛生所可能提供補助項目下的部分自費洗牙選擇,自費金額落在 NT 300 - 1200 不等取決於是否合併進階處理,如牙下清刮、深度牙石處理。診所依地區性及診所規模收費有差,平均介於 NT 600 - 1500。而牙周手術類則依病情需另外報價,一般牙周翻瓣程序可能在 NT 8,000 起跳。
不同醫療資源配置下,都市及特定特需牙醫聯盟機構可能會提供高解析探照裝備進行高效率診查或使用雷射進行潔牙等新方式。此類新技術因耗費額外醫療消耗,收費亦會調高不少,如光纜清創、牙下結石影像輔助清除可能上加價百至數千台幣。
診斷後,醫師通常提供整體治療規劃以及相對應價格表給病人做選擇;多數人接受標準流程清潔後恢復狀況良好,少部分因牙石長期沉久導致周邊牙齒支撐結構嚴重受傷者則需配合深度清創及長期穩定處理,這亦需更多財務與治療規劃準備。
應對牙結石的常識誤區與正確觀念釐清
社會大眾對付牙結石方面常有諸多迷思觀念亟待釐清。部分人誤解牙刷選擇硬度越高清潔效力越好,實際上過硬毛料反將導致牙釉質長期受損而使牙垢更易附著;有些人迷信家用洗氧泡泡或電動牙齒美白刷可取代牙石防治,事實上除非具潔牙清除功能,這類商品難以有效改善牙石沉積。
部分民眾更錯誤判讀牙齦流血表示不能刷或洗,應停止潔牙活動。殊不知牙齦易流血是因為牙石導致慢性發炎的徵兆,更需要確實刷洗加上定期洗牙才能消除原因,長年未處理的牙石更可能導致牙牙周發炎嚴重影響整體健康。
常有病人以為只要早晚自行清除牙垢即可免洗牙,然而口腔中某些位置牙籤、牙刷都難以真正深入,長久堆積即形成肉眼難辨、觸碰才會發現的牙石結成。這也是臨床上即使刷牙得宜,仍建議成年人每六個月進行專業清潔的主要原因。
另一個易誤判的觀念是牙石形成一定和牙齒黃不乾淨有所關聯。實際上牙齒外觀顏色受遺傳、茶飲染著等因素所致,部分牙結石沉著位置深且色澤不明顯,單純靠看不一定能發現。若不以工具探檢,容易錯判狀況。
牙結石發生位置
各個牙齒不同區塊的牙結石發生位置
虽然牙石可能出现在牙齿表面的不同区域,但仍存在某些相对容易发生的聚集地带。根据长期统计和患者案例分析,牙结 石最容易发生位置包括:
上门齿靠近齿龈部位的内側及外側區域
這個處主要受到來自唾液流及飲用流體接觸影響特別密集且不易清潔。此外,部分患者因為刷壓力過弱或刷法錯誤,使這些前牙的中間連合處長期處於高風險牙菌附著的狀況。
磨牙齒的大牙(臼齒)颊側外側及齒縫處
經常處於咀嚼作用的後槽牙因牙齒凹部設計複雑且接近腮部開口,食物殘渣容易卡住,加上刷具不易確實清刷牙縫,因此牙石易在此積累。
牙齒的舌邊及牙下邊緣交界的「牙下結石」
這塊區域不容易被普通刷毛所刷及,如果牙齊已有退縮或牙齒排列不佳的状况,牙结石更容易藏在这些不易观察到的凹部并造成进一步组织破坏。
一般患者自身不易清的牙結石發生位置
如牙齒轉角、齒列不整、裝配有裝置物例如齒冠,或是接受過根管治療、種植牙的齒部結構。這些區域因結構改變,傳統清潔方式難以深入去除雜質,導致長期留置後逐步形成硬塊。
牙結石飲食
高糖高澱粉食物
含糖食物如可樂、巧克力、餅乾、糖果或高澱粉的食品(如地瓜、馬鈴薯),這些食物一旦殘留在牙面或牙縫極容易被細菌利用轉成酸性物質。這些酸化劑不但導致牙齲,更為微生物創造出容易黏附聚集的環境。進而刺激形成牙菌斑,而牙菌最終硬化即為我們所稱的牙結石。
酸性與碳酸飲料
有大量臨床證據顯示每天飲料中碳酸含量越高,牙面越缺乏防護,同時降低唾液本身的 pH 值,影響其自然清潔能力。此外,汽水飲料中的添加物(特別是磷酸)可能改變牙齒表面的礦石構型,加速形成結石沉積。
偏好熱飲者例如黑茶、紅茶、咖啡之長期攝入
多項研究也指出,熱飲尤其是添加糖品的種類,會使牙石表面色素改變更嚴重,並加速附著牙石的形成,長期更可觀見特定牙面變黑甚至牙垢結石緊附的狀況。
常吃硬質或黏性食物的習慣
像是黏米飯、糯米飯、牛皮糖這一類難以清除的質地在牙齒之間更難以通過單純漱口除去,進而造成局部菌膜快速增加。
不規律的進食頻率
多餐少食或是經常進食但不清潔牙齒者亦為易產生牙石的原因。
牙結石危險因子
個人清潔與刷牙技巧不確實的影響
在導致牙石堆積的眾多原因之一中,清潔不確實尤為顯著。許多刷牙方式存在誤區,如過度著重橫向刷壓力造成牙齦受損反導致局部細菌聚集,或僅專注外顯齒面而忽視舌側的清潔。
牙結石預防
使用牙線、牙齒間刷不規律也使部分牙縫未能確實去除食物與牙菌薄膜。進步一點使用電動刷但未正確調整角度的民眾同樣無法有效清潔所有齒部交界。
發表留言